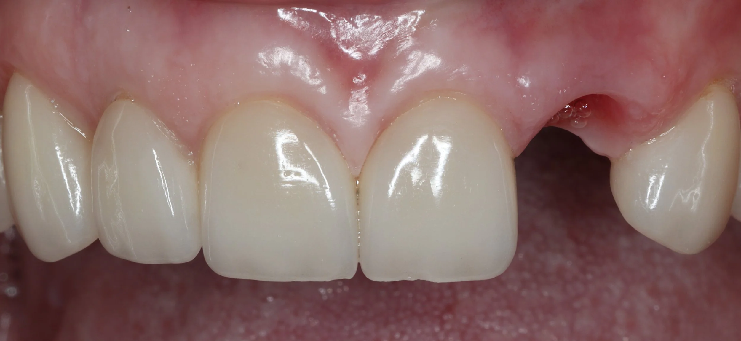
Temporary Tooth Worn During Healing
After Healing
Final Restoration
Dental Implants: Permanent Solutions for Missing Teeth
Missing teeth can impact more than just your smile—they can affect your bite, your speech, your confidence, and your overall health. At [Your Practice Name], we specialize in advanced dental implant solutions, including single implants, implant bridges, and full-arch restorations like All-on-4®.
Commonly Asked Questions:
- What Are Dental Implants? - Dental implants replace the root structure of missing teeth. They can provide support or retention to single crowns, bridges, or full arch dentures. There are my different ways to use implants to achieve your treatment goal of improving function and appearance. Implant-supported teeth will look, feel, and function similarly to your natural teeth—and they can last a lifetime with proper care. 
- Will The Implant Placement Hurt? - Most implant procedures are less uncomfortable than a tooth extraction. Some soreness or swelling is expected in the following 48hrs after treatment but can be managed with over-the-counter or prescription medications. 
- What Is The Success Rate of Dental Implants? - Implant success varies between individuals and within a single individual over their lifetime. This is primarily due to variation in bone quality/quantity, habits such as smoking, ability to heal, as well as biting force. However, dental implants are predictably successful with reported success rates 90-95% after 10 years (Tricio et al, 1995). 
- How Long Do Implants Last? - Implants can last a lifetime with proper home care. While no one can guarantee the lifetime success of an implant, we can help you maintain the health of your treatment at your routine follow up appointments. 
- Will Insurance Cover Dental Implants? - More companies are recognizing the need for implant procedures, so there are some dental insurance plans that help pay for implants. In many cases, your insurance may provide coverage for the teeth that are fixed to or retained by the implants. Call your insurance provider to determine your individual coverage. 
- What Are The Risks of Dental Implants? 
 For patients considering dental implants, it's important to understand that while implants are generally safe and effective, there are potential risks to be aware of. Like any surgery, there's a risk of infection at the implant site. Good oral hygiene and following post-operative care instructions can help prevent this. Although rare, dental implants may not always heal properly with the bone. Factors like bone quality and overall health can affect this. Good oral hygiene and regular check-ups can help manage long-term risks, such as bone loss or gum recession. Finally, while uncommon, implants can fracture or become damaged. Avoiding habits like teeth grinding can help prevent this.
- What are the Benefits of Dental Implants? - Permanent and secure—no slipping or adhesives 
- Prevents bone loss and preserves facial structure 
- Eat and speak with confidence again 
- Designed to last a lifetime with proper care 
- Restores function, health, and appearance 
 
- Types of Dental Implant Solutions We Offer: - Single Tooth Implants – Replace one missing tooth with a seamless result. 
- Implant Bridges – Restore multiple missing teeth without using adjacent natural teeth. 
- All-on-4 Dental Implants – Full-mouth restoration using just four implants per arch. Ideal for patients with extensive tooth loss or denture wearers. 
 
Schedule Your Consultation
If you’re ready to regain your smile with dental implants, contact [Your Practice Name] today to schedule a consultation. We’ll walk you through your options, treatment plan, and costs—so you can move forward with confidence.


